| 保険の根管治療 | 米国式根管治療(自費) | |
|---|---|---|
| 保険適用 | 健康保険が適用される | 適用されず自費診療となるが、希望の治療法・材料を選択できる |
| 概要 |
|
|
| 検査・診断 | X線(2次元)による診断 | 歯科用CT(3次元)を用いた精密な診断が可能 |
| 治療時間 | 1回30分 | 1回60~90分 |
| 通院回数 | 多い | 少ない(1~4回) |
| 精密治療 | 目視で行う | マイクロスコープ(歯科用顕微鏡)を使用 |
| 無菌的治療 | 必要最低限の対応 | 使用器具の徹底的な滅菌および、可能なかぎり使い捨て器具を使用 |
| 使用薬剤 | 保険で認められたものにかぎられる | 効果が認められている未認可の薬剤なども、患者様の同意・歯科医師の裁量のもと使用できる |
| 根管内の消毒 | 必要最低限 | 十分な濃度の消毒薬を用いた科学的清掃が可能 |
| 2年後の歯の保存率 | 50%以下 | 90%以上 |
| 費用 | 1歯:数千円程度 | 1歯:5万円~ ※歯根の数や湾曲度、破壊の程度によって異なります。 |

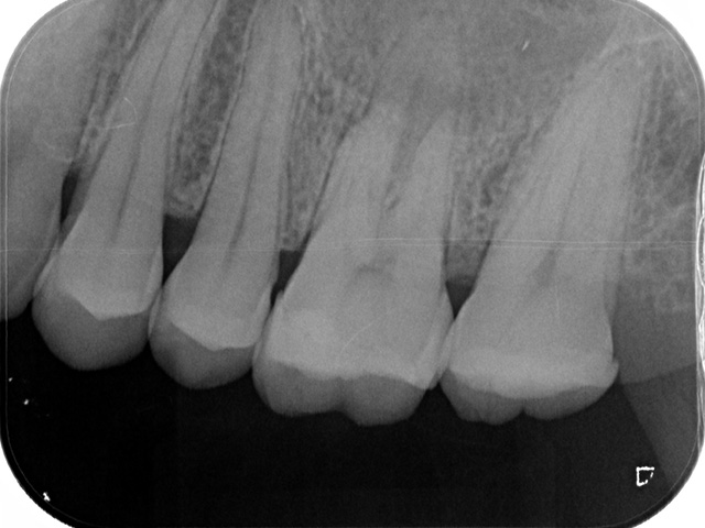
| デンタルレントゲン | CT画像 |
|---|---|
![]() | ![]() |


| 治療相談 | 3,000円 |
|---|---|
| 初診 | 12,000円(紹介状あり) 15,000円(紹介状なし) 内容)CT撮影、診断、治療方針の策定(60分) |
| 前歯 | 80,000円 |
|---|---|
| 小臼歯 | 100,000円 |
| 大臼歯 | 120,000円 |
| 前歯 | 90,000円 |
|---|---|
| 小臼歯 | 120,000円 |
| 大臼歯 | 140,000円 |
| 前歯 | 100,000円 |
|---|---|
| 小臼歯 | 140,000円 |
| 大臼歯 | 180,000円 |
| 歯髄保護処置 | 50,000円 |
|---|---|
| 築造 | 20,000円 紹介状をお持ちの方は支台築造後に紹介元の先生のところで補綴を行っていただきます。 |